X

Vous n'êtes pas connecté

Maroc Maroc - KNOWRIDGE.COM - A La Une - 21/12/2024 10:53

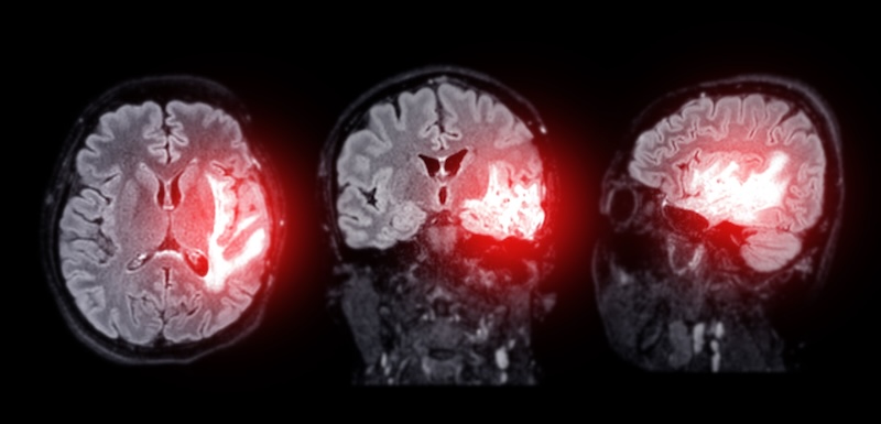
Scientists find a new way to treat Alzheimer’s disease

Scientists at Nanyang Technological University in Singapore have made an important discovery that could lead to new treatments for Alzheimer’s disease, the most common form of dementia. They found a key “energy switch” in immune cells called microglia, which are vital for brain health. These cells help clear toxic proteins that build up in the […]

Articles similaires

Super-active brain immune gene may increase Alzheimer’s risk

knowridge.com - 00:29

Researchers at Massachusetts General Hospital have discovered how a specific gene mutation in the brain’s immune cells may play a surprising role in...

Scientists find deep cause of Parkinson’s disease inside the brain

knowridge.com - 13/Oct 10:51

Scientists from the University of Copenhagen have made an exciting discovery about Parkinson’s disease. Their new research shows that the most...

Discovery of unique brain cells sheds light on progressive multiple sclerosis

news.medical.net - 10/Oct 16:24

Scientists have identified an unusual type of brain cell that may play a vital role in progressive multiple sclerosis (MS), likely contributing to the...

How Parkinson’s protein clumps drain the brain’s energy

knowridge.com - 10:33

Scientists have long thought that the sticky clumps of proteins found in the brains of people with Parkinson’s and Alzheimer’s disease were just...

New nanotech treatment reverses Alzheimer’s disease

knowridge.com - 19/Oct 14:48

A groundbreaking study led by scientists from the Institute for Bioengineering of Catalonia (IBEC) and West China Hospital of Sichuan University has...

New nanotech treatment reverses Alzheimer’s disease

knowridge.com - 19/Oct 14:48

A groundbreaking study led by scientists from the Institute for Bioengineering of Catalonia (IBEC) and West China Hospital of Sichuan University has...

New test could detect Lewy body disease before symptoms begin

knowridge.com - 16/Oct 10:25

Researchers from Lund University in Sweden have made a major discovery that could change how doctors find and treat Lewy body disease—one of the...

Discovery of vascular-associated fibroblastic cells opens new path for diabetes treatment

news.medical.net - 09/Oct 03:08

Type 1 diabetes is an autoimmune disease in which the immune system mistakenly attacks the cells that produce insulin-a critical hormone that...

Sorry! Image not available at this time

Ten red flags of Alzheimer's disease that may be mistaken for exhaustion or stress

wn.com - 19/Oct 05:34

Alzheimer's disease is the most common form of dementia, with symptoms usually developing slowly and getting worse over time ......

Sorry! Image not available at this time

Ten red flags of Alzheimer's disease that may be mistaken for exhaustion or stress

wn.com - 19/Oct 05:34

Alzheimer's disease is the most common form of dementia, with symptoms usually developing slowly and getting worse over time ......