CHITUNGWIZA- A team of local neurosurgeons at Chitungwiza Central Hospital has successfully performed a brain tumour removal on an 11-year-old girl,...
Vous n'êtes pas connecté
CHITUNGWIZA- A team of local neurosurgeons at Chitungwiza Central Hospital has successfully performed a brain tumour removal on an 11-year-old girl, marking a historic first for the institution and signalling a major advance for Zimbabwe’s public healthcare system. The procedure — a feat of precision medicine — represents a growing capacity within the country to …
CHITUNGWIZA- A team of local neurosurgeons at Chitungwiza Central Hospital has successfully performed a brain tumour removal on an 11-year-old girl,...
Ivan Zhakata A TEAM of local neurosurgeons at the Chitungwiza Central Hospital has successfully removed a brain tumour from an 11-year-old girl,...
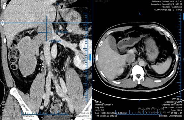
Doctors at Bình Dân Hospital in HCM City have successfully performed a fully robotic radical nephrectomy to remove a large kidney tumour, with a...
Ivan Zhakata-Herald Correspondent A joint team of medical staff from the flagship public sector Parirenyatwa Group of Hospitals and the private Trauma...
China achieves the world's first successful pig liver transplant in a human, advancing xenotransplantation science.
A mum whose 12-week-old baby underwent emergency surgery for a brain tumour calls for better awareness.
American Hospital Dubai’s renowned expertise in diagnostics, oncology, and surgery came together to successfully treat a one-year-old boy with a...
Antonia Matthews and Danielle HerbertBBC Wales Corinne Wardle Molly had nine hours of surgery, aged just 12 weeks, when the tumour was finally...
HARARE – Zimbabwe recorded a historic trade surplus of US$7 million in August 2025, marking its first positive trade balance in several years,...
The 108 Military Central Hospital has successfully treated a giant renal artery aneurysm at the renal hilum of a 37-year-old female patient from...